研究室のご紹介
臨床研究
Microbiome解析を用いた乾癬性関節炎の病態解明
【京都府立医科大学 研究倫理委員会 決定通知番号】ERB-C-1321-3
乾癬性関節炎では、腸内細菌叢のバランス異常が免疫応答や炎症に関与している可能性があります。本研究ではメタゲノム解析や代謝産物の評価を通じて腸内環境の変化を調べ、病態メカニズムの解明や新たな治療標的や予防法の開発を目指しています。フローサイトメトリーを用いた、拡大マススクリーニングにおけるTREC/KREC陽性例の二次精査
TREC/KRECは、新生児拡大マススクリーニングにおいて、先天性免疫不全症の指標として用いられます。本研究は、TREC/KRECスクリーニング陽性例に対して、フローサイトメトリーを用いて末梢血の免疫細胞分画を解析することで、早期診断と迅速な治療介入が可能になることを目標としています。
末梢血フローサイトメトリー小児四肢疼痛発作症の就学・就労支援マニュアルの作成のための研究調査
小児四肢疼痛発作症は慢性的半白生疼痛や機能制限により、就学・就労など生活全般に影響を及ぼします。本研究では患者・家族・教育機関・職場への聞き取りや実態調査を行い、適切な支援体制や対応方法を整理・標準化することで、より実用的な支援マニュアルの作成を目指します。原発性免疫不全症・自己炎症性疾患・早期発症型炎症性腸疾患の遺伝子解析と患者レジストリの構築
【京都府立医科大学 研究倫理委員会 決定通知番号】ERB-C-1923-3
原発性免疫不全症・自己炎症性疾患・早期発症型炎症性腸疾患は、遺伝子変異を背景とする免疫機能異常により発症する希少疾患あり、これまで400以上の責任遺伝子が明らかになっています。本研究では、全国的な患者レジストリを構築し、診断経過や遺伝子変異のデータを集積・解析し、稀少疾患の自然歴を解明することを目的としています。京都府立医科大学小児科は、共同研究機関として、本研究に携わっております。一般診療を行う小児科医・整形外科医に対する関節超音波検査教育による、「四肢の疼痛」を主訴とする小児に対する診療内容の変化の検討
【京都府立医科大学 研究倫理委員会 決定通知番号】ERB-C-2867-1
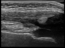
関節超音波検査は被曝がなくベッドサイドで実施できる有用なツールです。本研究では、一般診療に携わる小児科医や整形外科医に対して関節超音波検査の系統的な教育を行い、四肢痛を訴える小児に対する診療がどのように変化するかを教育前後で比較で評価します。これにより診断精度や治療方針の改善に寄与することを目指します。
幼児の膝関節超音波画像-
次世代プロテオミクス解析を用いた、小児リウマチ性疾患の臨床マーカーの探索
小児リウマチ性疾患は、稀少疾患でありまた臨床症状が多彩であるため、診断が難しく、難治であることが多いです。本研究では次世代型プロテオミクス解析により血清中のタンパク質プロファイルを網羅的に解析し、疾患特異的な診断・予後予測マーカーを同定して、早期診断・個別化医療の実現を目指します。
若年性皮膚筋炎患者の患者血清を用いた次世代プロテオミクス
患者様へのお知らせ
若年性特発性関節炎患者における患者背景、臨床検査所見、治療効果、予後についての臨床研究
【京都府立医科大学 研究倫理委員会 決定通知番号】ERB-C-385-2- 本院では、臨床研究事業として、若年性特発性関節炎患者様において、患者背景、臨床検査所見、治療効果、予後について調査しております。したがって、対象となられた患者様の年齢・検査結果・症状・治療法などの診療情報を調査しております。この点についてご了承御願い致します。
- この調査で取り扱う診療情報は、集計・解析の際にはどの方のものか分からないように番号を付けますので、患者様の個人情報を厳重に保護し不利益が生じないよう配慮しています。研究成果は「当院の若年性特発性関節炎患者における患者背景、臨床検査所見、治療効果、予後についての臨床研究」として成果を公開いたします。この調査によって得られた情報は上記研究の目的以外には使用致しません。
この研究は当院医学倫理審査委員会の承認を得ております。上記に該当する患者様及びその御家族様でこの研究についての疑問または情報提供拒否のお申し出がございましたら、令和7年3月31日までに、小児科学教室 秋岡親司、皮膚科学教室 荒川幸保、丸山彩乃までお申し出下さい。お問い合わせがない場合には同意頂いたものとして取り扱わせて頂きます。
研究対象者 過去平成17年1月以降に小児科、皮膚科を受診し若年性特発性関節炎と診断された患者様 研究期間 平成27年9月3日~令和7年3月31日 研究代表者 京都府立医科大学小児科 秋岡親司 研究担当者 京都府立医科大学小児科 秋岡親司
京都府立医科大学皮膚科 荒川幸保
京都府立医科大学皮膚科 丸山彩乃電話 075-251-5586(皮膚科)/075-251-5571(小児科) FAX 075-251-5586(皮膚科)/075-252-1399(小児科) 小児乾癬診断と鑑別のための血液学的、病理学的、画像評価による検討
【京都府立医科大学 研究倫理委員会 決定通知番号】ERB-C-1613-1京都府立医科大学皮膚科、小児科では、乾癬の患者さんを対象に小児乾癬の診断と鑑別のために臨床研究を実施しております。実施にあたり京都府立医科大学医学倫理審査委員会の審査を受け、研究機関の長より適切な研究であると承認されています。
- <研究の目的>
乾癬は皮膚に赤い発疹が出る病気であるが、関節が痛くなったり、膿疱(白い小さな膿のようなもの)がでたりすることもある。小児の乾癬は数が少なく(全体の2-7%程度)、また大人と比べて発疹が軽症のため、湿疹や他の病気と似ています。そのため乾癬と診断するには皮膚の一部を検査する皮膚生検という手段を用いる以外に、血液検査や画像検査を用いて他の疾患を鑑別します。本研究において、小児乾癬の診断および鑑別のために、患者さんから同意が得らえた血液検査、病理検査、画像検査について診断と鑑別への有用性や有効性、検査結果と臨床病型、治療内容および治療反応性への関係性を評価することを目的とします。
- <研究の方法>
対象となる方について
2008年1月1日から2025年3月31日までの間に、京都府立医科大学皮膚科、小児科で乾癬と診断された、もしくは乾癬を疑われる方。
研究期間
2019年12月25日〜2025年3月31日
方法
当院皮膚科、小児科において乾癬と診断された方、もしくは乾癬を疑われ検査を受けられた方で、診療録(カルテ)より以下の情報を取得します。乾癬の診断時や鑑別に得られた血液検査や画像検査の中から診断と鑑別に有用な手段を評価するとともに、乾癬の病態への関与、治療への反応性などを評価します。
研究に用いる試料・情報について
本研究で用いる血液検査項目と画像検査、情報については以下のようなものになります。
血液検査:白血球数、赤血球数、血小板数、TARC値、抗核抗体、RFなど
病理検査:診断のために採取された組織
画像検査:超音波検査、骨シンチグラフィー、Gaシンチグラフィー、単純X線など
情報:病歴、年齢、体重、皮疹の範囲、関節痛の範囲・程度、質問票、治療内容、治療への反応性など
質問票:小児科受診時に記入された日常生活の活動性および主訴、疼痛の部位などが記載された質問票
HAQ:日常生活の身体障害度の評価
BASDAI, BASFI、BASMI、ASDAS、JADAS:脊椎炎の日常生活の支障の程度
CPDAI:HAQ, BASDAIを用いた疾患活動性の評価
なお、個人が特定できる氏名、生年月日などは削除し、新たに記号を付けたうえで個人情報に配慮します。
- <個人情報の取り扱いについて>
患者さんの病歴、病理組織、血液検査結果、画像検査結果、カルテ情報をこの研究に使用する際は、氏名、生年月日などの患者さんを直ちに特定できる情報は削除し研究用の番号を付けて取り扱います。患者さんと研究用の番号を結びつける対応表のファイルにはパスワードを設定し、インターネットに接続できないパソコンに保存します。このパソコンが設置されている部屋は、入室が管理されており、第三者が立ち入ることができません。
また、この研究の成果を発表したり、それを元に特許等の申請をしたりする場合にも、患者さんが特定できる情報を使用することはありません。
なお、この研究で得られた情報は個人情報管理者(京都府立医科大学看護学科小児科 教授 森本昌史)の責任の下、厳重な管理を行い、患者さんの情報などが漏洩しないようプライバシーの保護には細心の注意を払います。
- <情報の二次利用について>
カルテから抽出した情報は原則としてこの研究のために使用し結果を発表したあとは、京都府立医科大学小児科学教室において個人情報管理者(看護学科教授 森本昌史)の下、10年間保存させていただいた後、研究用の番号等を削除し、廃棄します。
保存した情報を用いて将来新たな研究を行う際の貴重な情報として、前述の保管期間を超えて保管し、新たな研究を行う際の貴重な情報として利用させていただきたいと思います。新たな研究を行う際にはあらためてその研究計画を医学倫理審査委員会で審査し承認を得ます。
- <お問い合わせ先>
患者さんのご希望があれば参加してくださった方々の個人情報の保護や、研究の独創性の確保に支障が生じない範囲内で、研究計画及び実施方法についての資料を入手又は閲覧することができますので、希望される場合はお申し出下さい。
また、情報が当該研究に用いられることについて患者さんもしくは患者さんの代理人の方にご了承いただけない場合には研究対象としませんので、2025年3月31日までに下記の連絡先までお申出ください。その場合でも患者さんに不利益が生じることはありません。
研究対象者 2008年1月1日から2025年3月31日までの間に、京都府立医科大学皮膚科、小児科で乾癬と診断された、もしくは乾癬を疑われる方 研究期間 2019年12月25日〜2025年3月31日 研究責任者 京都府立医科大学小児科 秋岡親司 研究担当者 京都府立医科大学小児科 秋岡親司
京都府立医科大学皮膚科 益田浩司
電話 075-251-5586(皮膚科)/075-251-5571(小児科) FAX 075-251-5586(皮膚科)/075-252-1399(小児科)
若年性皮膚筋炎・若年性多発筋炎における筋炎特異抗体、肺病理および胸部CT所見の検討
【京都府立医科大学 研究倫理委員会 決定通知番号】ERB-C-963-1当院では若年性炎症性筋疾患に関する研究「若年性皮膚筋炎・若年性多発筋炎における筋炎特異抗体、肺病理および胸部CT所見の検討」を実施致します。この研究は、厚生労働科学研究費補助金 難病性疾患政策研究事業として行われるもので、信州大学、埼玉医科大学総合医療センター、東京医科歯科大学、KKR札幌医療センター、あいち小児保健総合医療センター、横浜市立大学、北海道大学、鹿児島大学、埼玉県立小児医療センター、群馬大学、埼玉県立循環器呼吸器病センター、神奈川県立こども医療センターそして当科が協力して行う多施設共同研究です。
本研究では、過去に京都府立医科大学附属病院小児科で若年性皮膚筋炎・若年性多発筋炎の診断を受けられた患者さんの診療録を過去に遡って調査させて頂きたいと考えています。また過去にご同意頂き採取・保存している血液検体をこの研究に使用したいと考えています。
本研究は、厚生労働省の「人を対象とする医学系研究に関する倫理指針」を守り、倫理委員会の承認の上で学長の許可を得て実施されます。
- <研究の目的>
若年性皮膚筋炎は、皮膚の異常と手足等に力が入りにくくなる小児の病気です。皮膚症状を認めない場合は若年性多発筋炎と呼びます。この病気にかかられた患者さんの中に、間質性肺炎により数か月で呼吸が悪化し、亡くなる方がいることが明らかとなりました。救命には病気を早く見つけることが大切で、診断が遅くなった場合、その様な患者さんを助けることは大変難しい状態です。また、最近、若年性皮膚筋炎と関連の深い抗体(筋炎特異抗体)が測定できるようになってきました。成人の皮膚筋炎では筋炎特異抗体の種類により、重症かどうか、どのような治療が必要か等がある程度推測できることが明らかにされています。
この研究は、①急激に悪くなる間質性肺炎を早期に診断するための症状や検査所見を見つけること、②間質性肺炎の病理組織を検討し病気の成り立ちを解明し、治療への糸口をつかむこと、③日本の若年性皮膚筋炎および若年性多発筋炎患者さんにおける筋炎特異抗体と臨床的特徴の関連をあきらかにすることを目的としています。
- <研究の期間>
承認日から令和3年8月31日まで
- <研究の方法>
対象となる患者さんについて
平成17年1月1日から平成29年6月30日に、当科で若年性皮膚筋炎・若年性多発筋炎の診断を受けられた28歳未満の患者さんが対象となります。
方法について
診療の際に記録された診察所見や検査結果等の情報を施設毎にCDにまとめ、郵便または宅配便で信州大学小児科に集めます。保存していた血液検体は凍結のまま信州大学小児科に送り、筋炎特異抗体等を測定します。収集した全施設のデータと新たに解析した結果を組み合わせ、本邦の若年性皮膚筋炎・若年性多発筋炎の特徴を見出すとともに、血液検体からは病気と関連のある物質を明らかにします。特に、重症な間質性肺炎を来した患者さんについては、CT検査の画像や取り出した肺の一部の組織を用いて、重点的に解析します。
資料の管理について
情報は全て匿名化され、個人が特定されることはありません。匿名化の際、新たに符号が付けられますが、それらの対応表は本学(保管責任者;秋岡親司)で10年間厳重に保管します。収集した臨床情報は本研究の解析のみに使用し、倫理委員会の許可無く他の目的に利用することはありません。研究結果が公表される場合も個人が特定されることはありません。
予測される利益や負担について
新たに採血やレントゲン等の検査は行いませんので、参加頂く場合も負担はありません。また謝礼はございません。情報の利用を断られた場合も今後の診療に不利益はありません。
-
診療録等の情報や保存している血液検体が本研究に用いられることについて患者さんもしくは患者さんの代理人の方にご了承頂けない場合には研究対象としませんので、平成29年11月30日までに、主治医にお伝え頂くか下記の連絡先まで御連絡下さい。その場合も不利益が生ずることはありません。それまでにお申し出がなかった場合には、了承して頂いたものとさせていただきます。
研究対象者 平成17年1月1日から平成29年6月30日までの間に免疫・膠原病外来を受診し、
若年性皮膚筋炎・若年性多発筋炎と診断された患者様研究期間 平成29年10月12日〜令和3年8月31日 研究責任者(本学) 京都府立医科大学小児科 秋岡親司 電話(本学) 075-251-5571 FAX(本学) 075-251-5571
基礎研究
-
関節炎モデルマウスを用いた、関節炎における低酸素応答の病態解明
関節炎局所では低酸素環境が生じ、炎症や組織破壊を悪化させることが示唆されています。本研究では関節炎モデルマウスを用い、低酸素応答に関わる分子経路や細胞挙動を詳細に解析し、低酸素環境が疾患進展に与える影響を明確化することで、新しい治療戦略の開発を目指しています。
関節炎マウス コントロールマウス -
関節炎モデルマウスを用いた、CD19 CAR-T細胞の治療効果の検討
CD19を標的とした改変T細胞(CAR-T細胞)は、難治性B細胞関連疾患で注目されています。関節炎モデルマウスを用いて、この新しい細胞療法の有効性と安全性を検証し、既存治療に抵抗する難治性関節炎に対する新規治療法の確立を目指します。
研究メンバー
| 准教授 | 秋岡親司 |
|---|---|
| 助教 | 中川憲夫(北部医療センター) |
| 研修員 | 大内一孝 |
| 研修員 | 久保裕 |
所属学会
- 日本リウマチ学会
- 日本小児リウマチ学会
- 日本臨床免疫学会
- 日本免疫不全・自己炎症学会
- 日本川崎病学会
- 日本免疫学会
- 日本アレルギー学会
学会認定施設
- 日本リウマチ学会教育施設
- 日本アレルギー学会アレルギー専門医教育研修施設
業績
著書
秋岡親司. 若年性特発性関節炎. カナキヌマブ治療の理論と実際. 58-59, 2021
秋岡親司. 若年性皮膚筋炎・若年性特発性筋疾患. 成人診療医のための小児リウマチ性疾患移行支援ガイド. 105-121, 2020
秋岡親司, 南雲治夫. 小児リウマチ性疾患の診察法. 小児リウマチ学. 21-25, 2020
秋岡親司. 若年性特発性関節炎. 今日の治療指針 2020年版 1485-1486, 2020
秋岡親司. 小児のリウマチ. 実臨床に活かす抗リウマチ薬ガイドブック -だから,これを選ぶ,こう使う. 58-63, 2019
秋岡親司, 中川憲夫. 全身性エリテマトーデス(SLE). 小児科ステロイドの使い方・止め方・続け方. 72-74, 2019
秋岡親司, 南雲治夫. 全身性エリテマトーデス. 小児疾患の診断治療基準 改訂第5版. 小児内科 2018年 50巻 増刊号 94-295, 2018
秋岡親司. 筋障害とその評価法. 若年性皮膚筋炎診療の手引き 2018年版 28-32, 2018
秋岡親司. 電気生理学的検査. 若年性皮膚筋炎診療の手引き 2018年版52-57, 2018